La traducción de nuestros casos se encuentra aún en proceso. Parte de nuestros casos han sido ya traducidos al castellano, sin embargo disponemos de más casos en nuestra versión en inglés. Gracias por su paciencia y apoyo.
El equipo de MSK Radiology 4 U
Search Cases
Diagnosis
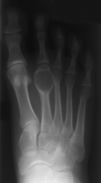
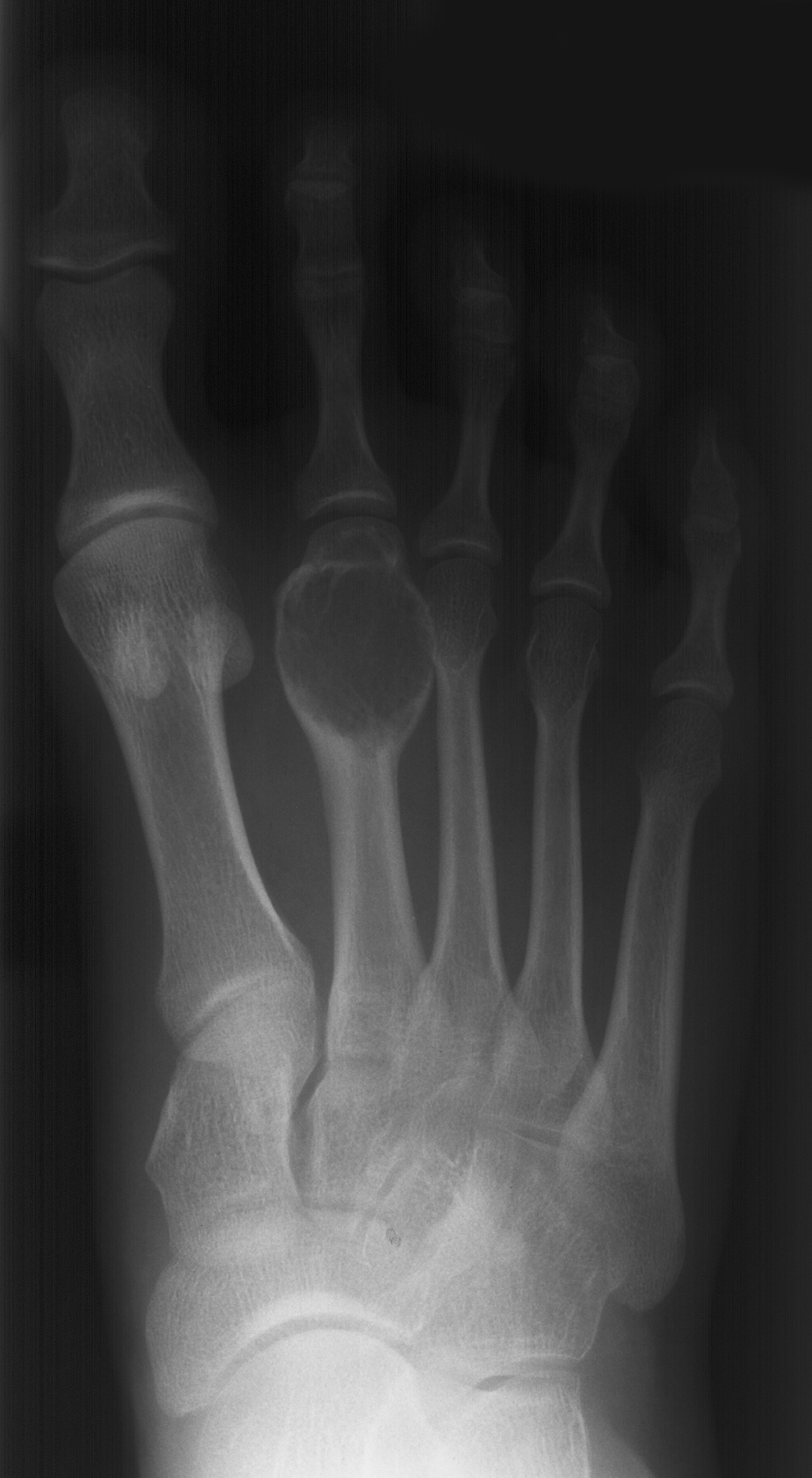
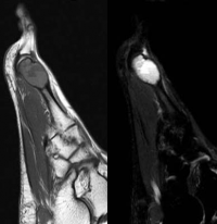
Aneurysmal bone cyst metatarsal. Benign looking expansion of the distal end of the second metatarsal. The lesion is cystic with fluid-fluid levels evident on the STIR image.
Case Number: 2110
Displaying record
1
of 4281
History
16-year-old girl complaing of pain and swelling of the foot.